숨케어한의원

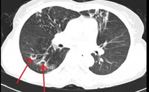
폐기종

호흡기 질환만 연구, 숨케어한의원

폐기종의 원인
나이가 들고 노화가 진행되면서 자연스럽게 폐기능이 떨어질 수도 있습니다. 이럴 때 여러 가지 폐질환에 취약해질 수 있습니다. 젊을 때는 증상을 자각하지 못하다가 폐활량이 떨어지면서 증상을 느끼기 시작하기도 합니다.

​ 특히 폐기종의 경우 지금은 흡연을 하지 않더라도 젊을 때 흡연경력이 있다면 충분히 원인이 될 수 있습니다.

​ 가슴이 답답하다는 증상과 함께 호흡곤란, 기침 등이 증상인 폐기종은 발병환자 대부분이 흡연자라 흡연이 폐기종의 발병 원인으로 주목되고 있습니다. 그래서 흡연자라면 폐기종 치료에 있어서 금연이 필요합니다.

​ 그외 미세먼지 농도가 나쁨이거나 실내외 공기 오염, 자동차배기가스, 화학약품의 지속적인 노출, 매연 등도 심각한 원인으로 작용합니다.

폐기종 증상과 합병증

숨쉬기가 힘들다, 숨이 찬다, 가슴이 답답하다, 기침을 한다 이런 증상들은 폐기종을 의심해 볼 수 있기 때문에 가급적 제대로 된 진찰을 받아보시길 권해드립니다.

적절한 조치를 취하지 않는다면 계속해서 호흡은 어려워 질 수 있고, 결국 숨쉬기가 불편해져 호흡곤란으로 심각한 상황까지 이어질 수 있습니다.

​간혹 별다른 폐기종 증상을 느끼지 못하고 체중감소, 피로감, 가벼운 기침증상 등만 호소하시는 분들도 계십니다. 따라서 초기진료를 놓쳐 병증이 악화되기 쉬운데, 이런 경우 호흡부전과 고혈압 등 여러 가지 합병증이 나타날 수 있어 주의가 필요합니다.

또한 처음부터 무조건 일시적인 증상 억제보다는 폐에 도움이 되는 근본적인 예방치료가 중요합니다.

​따라서 폐의 기능이 떨어지기 시작할 때 대수롭게 여기지 말고, 이를 심각하게 받아들이고, 적극적인 진료를 받으시는 게 좋습니다.
본격적으로 폐기능이 떨어지게 되면 숨이 쉽게 차거나, 감기나 폐렴에 자주 걸리게 되고, 증상이 오래가게 됩니다.
호흡순환 면역력이 저하되면서 일어나게 되는 증상들입니다.

​특히 폐렴 등의 합병증은 조심해야 합니다.

호흡 면역력이 약해진 상태라고 볼 수 있어, 가벼운 호흡기 질병에도 심각한 후유증이 남을 수 있으며. 그렇게 질병을 앓고 나면 급성악화가 일어나 폐활량이 급격하게 저하될 수 있습니다.
따라서 가급적 미연에 걸리지 않도록 주의하고, 만약 걸렸다면 즉시 정확하게 치료하고 회복하도록 신경을 써야 합니다.

폐기종 치료는 어떻게

일반적인 기침과 가래 증상에 대해 조금 더 관심을 갖고 병을 키우는 일이 없도록 해야 하겠습니다. 또한 폐기종 치료처럼 중증 폐질환의 경우에는 여러 병원을 전전하다가 결국 치료가 어렵다는 진단을 받기도 합니다.

호흡기만 집중해서 연구하고 치료하는 병원에서 진료를 받으시길 권해드립니다.

한약에 대한 우수성이 폐기종 질병에 효과적이라는 논문 및 해외 연구들이 많습니다. 특히 한약은 염증 관리에 좋고, 면역체계를 정상화하는데 도움이 되며, 맞춤형 진료를 통해 환자에게 부담이 없는 처방이 가능하다는 점 등이 인정받고 있습니다.
해외논문으로 한번 확인해볼까요?

한약이 폐기종에 도움된다는 논문(중국)

Effect of Radix Stemonae concentrated decoction on the lung tissue pathology and inflammatory mediators in COPD rats.

Wang Z, Yang W, Yang P, Gao B, Luo L
Abstract
BACKGROUND:
Chronic obstructive pulmonary disease (COPD) is a common and frequently occurring respiratory disease. At present, western medicine treatment of COPD mainly focuses on symptomatic treatment. Using Chinese medicines or integrated Chinese and Western medicines to treat stable COPD has significant efficacy. In this study, we aimed to observe the effect of Radix Stemonae concentrated decoction on the lung tissue pathology and inflammatory mediators in COPD rats and explore its possible mechanism.
METHODS:

SD rats were randomized into blank group, COPD model group and Radix Stemonae group, 10 cases in each group. Rats were fed for 112 days. Before the rats were sacrificed, lung function of the animals was tested. The right lower lung was fixed for morphologic observation. The inflammatory mediators in serum were determined using enzyme-linked immuno sorbent assay.
​RESULTS:
Body weight of animals in the model group was significantly decreased compared with blank group (P < 0.05). After gavage therapy with Radix Stemonae, body weight was significantly increased (P < 0.05). Compared with the blank group, pulmonary functions of rats in the model group were significantly abnormal (P < 0.05), while in Radix Stemonae group, these indicators turned much better than model group (P < 0.05). As for pathological changes in lungs, airway inflammation in the model group was aggravated. In the Radix Stemonae group, inflammation and emphysema were much milder. The concentrations of TNF-α, IL-8 and LTB4 in both model group and Radix Stemonae group were increased significantly (P < 0.05). But the levels in Radix Stemonae group were decreased significantly than model group (P < 0.05).
​CONCLUSION:
Radix Stemonae concentrated decoction may mitigate and improve airway rebuilding in the lungs of COPD rats by inhibiting the release of inflammatory mediators.
(BMC Complement Altern Med. 2016 Nov 10;16(1):457)​​ ​

- 한약이 폐조직 병리 및 염증매개체에 미치는 영향을 연구한 논문입니다.

일부를 발췌해보면
Radix Stemonae concentrated decoction may mitigate and improve airway rebuilding in the lungs of COPD rats by inhibiting the release of inflammatory mediators.

한약은 COPD(폐기종)에서 염증매개체의 방출을 억제하여 기도재건을 완화하고 개선시킬 수 있습니다

논문 한편을 더 살펴봅시다

한약처방이 고령 폐기종 환자의 악화를 감소시키는데 도움이 된다는 논문(일본)

Reduction in exacerbation of COPD in patients of advanced age using the Japanese Kampo medicine Dai-kenchu-to: a retrospective cohort study.

joT, Michihata N, Yamana H, Sasabuchi Y, Matsui H, Urushiyama H, Mitani A, Yamauchi Y, Fushimi K, Nagase T, Yasunaga H
Abstract
Purpose:
​Patients with symptomatic COPD are recommended to use inhaled bronchodilators containing long-acting muscarinic receptor antagonists (LAMAs). However, bronchodilators may cause gastrointestinal adverse effects due to anticholinergic reactions, especially in advanced-age patients with COPD. Dai-kenchu-to (TU-100, Da Jian Zhong Tang in Chinese) is the most frequently prescribed Japanese herbal Kampo medicine and is often prescribed to control abdominal bloating and constipation. The purpose of this study was to evaluate the role of Dai-kenchu-to as a supportive therapy in advanced-age patients with COPD.
​Patients and methods:
We used the Japanese Diagnosis Procedure Combination inpatient database and identified patients aged ≥75 years who were hospitalized for COPD exacerbation. We then compared the risk of re-hospitalization for COPD exacerbation or death between patients with and without Dai-kenchu-to using 1-to-4 propensity score matching. A Cox proportional hazards model was used to compare the two groups. We performed subgroup analyses for patients with and without LAMA therapy.
Results:
Patients treated with Dai-kenchu-to had a significantly lower risk of re-hospitalization or death after discharge; the HR was 0.82 (95% CI, 0.67-0.99) in 1-to-4 propensity score matching. Subgroup analysis of LAMA users showed a significant difference in re-hospitalization or death, while subgroup analysis of LAMA non-users showed no significant difference.
​Conclusion:
Our findings indicate that Dai-kenchu-to may have improved the tolerability of LAMA in advanced-age patients with COPD and, therefore, reduced the risk of re-hospitalization or death from COPD exacerbation. Dai-kenchu-to may be recommended as a useful supportive therapy for advanced-age patients with COPD.
(Int J Chron Obstruct Pulmon Dis. 2018 Dec 27;14:129-139. doi: 10.2147/COPD.S181916. eCollection 2019.)

- 한약처방이 고령 폐기종 환자의 악화를 감소시키는데 도움이 된다는 논문입니다

일부를 발췌해보면
Our findings indicate that Dai-kenchu-to may have improved the tolerability of LAMA in advanced-age patients with COPD and, therefore, reduced the risk of re-hospitalization or death from COPD exacerbation.

한약은 양약 흡입제의 내약성을 개선하여 COPD(폐기종) 악화로 인한 재입원 또는 사망위험을 줄였습니다

이런 한약의 우수성은 어떤 한의사를 만나느냐에 따라 더욱 효과가 발휘됩니다.

아무래도 한의사도 집중해서 연구하고 치료하는 분야가 다르기 때문에 그렇습니다.

숨케어한의원만의 특별함

1. 오직 호흡기만 연구합니다.

오직한길 호흡기 치료 한의원

연구와 경험

숨케어한의원은 호흡기 치료를 위해 국내 명의는 물론
북경, 상해병원에서 난치성 호흡기환자 임상만 2만명에 이르는
경험을 쌓은 원장이 직접 진료하는 한의원 입니다.

2. 풍부한 경험의 한의사에게 직접.

호흡기환자 경험만 2만명에 이르는 다양한 경험을 가진 원장님께 직접 치료를 받을 수 있습니다. 원장님은 과거 본인이 가지고 있던 만성비염과 만성기침을 스스로 한약으로 고친 후 호흡기 질환에 대한 연구를 거듭하였습니다.

동의보감, 사상의학 같은 한국에서의 연구에 만족하지 않고 보다 나은 치료를 위해 북경, 상해 등지에서의 병원연수를 통해 명의의 노하우와 비방을 1대1 사사를 통해 가르침 받아 치료에 활용하고 있습니다.

그렇기 때문에 숨케어한의원은 다른 사람에게 진료를 대신 맡기지 않습니다.

2014년 중국연수

북경과 상해의 호흡기 센터에 연수 다녀왔습니다.

...

북경중의병원 연수

...

북경중의병원 호흡기내과
주임교수 유웨이와

...

북경건안병원

...

북경건안병원장
씨에지증(폐암전문)과

...

북경동직문병원

...

상해용화병원연수

...

상해용화병원 호흡기내과 주임교수 장후에이용과

...

상해서광병원 호흡기내과 주임교수 황지겅과

2015년 중국연수

상해에 있는 용화병원 호흡기 센터에 연수 다녀 왔습니다.
용화병원은 상해중의학대학 부속 병원으로 국가지정 가장 높은 등급의 병원입니다.

...

상해용화병원

...

호흡기내과 주임교수 장후에이용과

...

호흡기내과 주임교수 장후에이용과

...

호흡기내과 주임교수 장후에이용과

...

호흡기 내과 의사 쉐홍하오와

...

병원장 오은근(80세)과

2018년 중국연수

난치병 치료의 대가로 손꼽이는 인물로 이사무(리스마오)선생이 있습니다.
중국 최고 의사 호칭인 국의대사(國醫大師)로 지정되었으며 현재는 수제자 왕사평 선생을 통해서 의술이 이어지고 있습니다.
그의 진료실에서 직접 사사받을 수 있는 기회를 가졌습니다.

...

이사무선생

...

왕사평선생과 (여름)

...

진료실에서(여름)

...

진료실에서(겨울)

...

진료실에서(겨울)

3. 일대일 맞춤 치료

사람마다 상황이 다르므로 처방 또한 다릅니다. 일률적인 처방을 하지 않습니다.

유해 물질로부터 손상된 폐의 정상적인 기능 회복과 염증 제어, 후유증과 합병증 예방을 통한 면역력의 개선이 이뤄집니다.
폐기종 치료는 매우 신중하게 접근해야 합니다. 증상억제(완화)도 의미가 있지만 보다 정확한 진단과 근본적인 원인치료가 함께 이뤄져야 효과적입니다.

​ 더 이상 증상이 악화(진행)되는 것을 막아야 하고 폐포에 여러 가지 손상을 줄 수 있는 다양한 합병증 등으로부터 예방을 해야 합니다.
폐기종의 경중과 환자의 상태, 체질 등에 따라 다각적이고 단계적인 치료가 필요하며, 한 두가지 단면적인 치료가 아닌 신체 내 종합적이고 체계적인 접근이 있어야 효과적입니다.
면역기능이 떨어져 있다면 면역력을 올려야 할 것이고 진액이 부족하면 진액을 더하고 영양분과 수분을 공급해야 할 것입니다. 어혈이 많다면(폐조직 혈류순환 저하를 의미) 어혈 제거에 초점을 두어야 합니다.

​ 그외 다른 전반적인 몸 상태 확인이 필요합니다.
예를 들어 수면, 땀, 대변, 소변, 소화상태 등등의 확인도 해야 합니다.
이런 식으로 증상 확인을 한 다음 진맥결과를 바탕으로 사람마다 모두 다른, 최적화된 맟춤형 처방을 시행합니다.

4. 진맥은 어떻게 하는가

한의사의 한의사 다움은 진맥에 있다고 할 것입니다.
故 이사무 선생은 진맥 하나로 중국정부에서 "국의대사(國醫大師)"라는 호칭을 받은 분입니다.

국의대사는 의술의 소실을 막고자 중국정부에서 그 분야 최고의 의사에게 부여하는 호칭입니다.
숨케어한의원 원장님은 직접 중국에 있는 이사무 진료실에서 진맥법을 사사 받고 이를 진료에 적용하고 있습니다. ​
이사무 선생의 진료실에서

5. 한약재 사용

항생제나 인위적인 스테로이드 성분이 전혀 없는 순수 한약재만 이용해서 처방을 합니다.
한약규격품, 안전한 한약재만을 취급합니다.​

안전한 국산 한약재

최적의 산지에서 재배되는 한약재

효능과 기원이 정확한 한약재

한의학 원전을 고증하고 본초학 교수들의 자문을 얻어 정확한 기원식물의 약재를 사용하며, 한방과학연구소의 HPLC함량 분석법에 의거하여 유효성분을 제대로 함유하는 약재를 사용합니다.

6. 치료후기

진료시간 및 예약

  • 평일오전 11시 ~ 오후 7시
  • 토요일오전 10시 ~ 오후 3시
  • 점심시간오후 1시 ~ 오후 2시
숨케어한의원은 일요일, 공휴일은 휴진입니다.

02-577-7889

숨케어한의원에서는 전화예약을 받고 있습니다. 내원시 엑스레이, CT사진, 폐기능검사지를 가지고 오시면 자세한 상담이 가능합니다.

커뮤니티

찾아오시는 길

주소: 서울시 강남구 남부순환로 359길 12 향덕빌딩3층
지하철 3호선 양재역 4번 출구에서 도보로 3~5분
1층 후문에는 전용주차장이 있습니다자세히보기